Manchmal gibt es echt schwierige Patienten. Oft sind es Privatpatienten, die hohe Ansprüche stellen und arrogant oder herablassend wirken können, obwohl man doch auch a priori denken könnte, dass sie die zivilisiertesten von allen sind (sind sie auch oft, finde ich).
In den letzten Tagen hatten wir eine Patientin mit einer chronischen systemischen Erkrankung, die sie ziemlich beeinträchtigt. Bei der Aufnahme, wo sie mir ihr Leid klagte und ihre Lebensgeschichte erzählte, hatte ich noch ziemlich viel Mitleid. Als sie dann bei der Lumbalpunktion schon beim Desinfizieren wie am Spieß schrie, war ich etwas verwundert. Jetzt übers Wochenende hat sie sich mit dem Pflegepersonal und einigen Ärzten angelegt. Als der diensthabende Arzt am Wochenende ihr nicht direkt eine Tablette gegen Kopfschmerzen geben wollte, sondern erst den Totenschein der im Nachbarzimmer gestorbenen Patientin ausfüllte, hat ihr Lebensgefährte ihm dann konsequenterweise mit Schlägen gedroht. Das Theater ging dann heute weiter, als sie sämtlichen irgendwie Beteiligten Lügen vorwarf. Was für eine veränderte Selbstwahrnehmung!
Ich frage mich ernsthaft, ob sowas Kulturkreis-assoziiert ist. Bei Patienten aus dem Norden Europas hab ich sowas noch nie erlebt (wenn es auch sicherlich gelegentlich vorkommen mag). Bei welchen aus dem Nahen Osten, wie eben dieser Patientin schon. Bitte kein Missverständnis! Ich habe absolut keine Vorurteile gegen diese Menschen (siehe Beginn, als sie mir sympathisch war). Aber verletzter Stolz scheint in diesen Kreisen ja wirklich häufiger vorzukommen und dann zu heftigeren Reaktionen zu führen, die dann schwierige Situation hervorrufen. Was meint ihr? (Ganz offen und ohne Vorurteile, einfach nur nach persönlichen Erfahrungen)
Montag, 24. September 2007
Donnerstag, 20. September 2007
Neulich bei der Chefvisite...
[Chef kommt rein, 2 Ärzte, eine Schwester, der Zimmernachbar und ich hören zu; eine längere Erklärung über die Schädlichkeit des Rauchens, auch akute Thrombosegefahr etc. hat gerade stattgefunden. - Dialog ist sinngemäß wiedergegeben:]
-... sie hören jetzt mit dem Rauchen AUF!
-Nein.
-Dann kriegen sie wieder 'nen Schlaganfall!
-...
-Wollen Sie jetzt schon sterben?
-[Achselzucken] Ja...
-Aber wieso denn? Haben Sie keine Familie? [Patient ist ca 50J. alt, Alkoholiker und lebt bei seiner Mutter]
-[Schüttelt den Kopf] Nein.
-Ja, das ist schwer. Hmm.
Hmm... Also ich muss dazu sagen, dass der Chef sonst immer respektvoll und eigentlich auch einigermaßen einfühlsam mit den Patienten umgegangen ist. Aber DAS... ist suboptimal. Jedenfalls aus utilitaristischer "greatest-happiness-for-greatest-number"-Sicht. Manchmal denke ich, dass vielen Chefärzten die "buddhistisch-katholische" benigne therapeutische Resignation völlig fehlt. Da sie nicht mehr dem Stationsalltag ausgesetzt sind, haben sie eine gesteigerte Selbstwirksamkeitserwartung. Sozusagen das Gegenteil dessen, was in "House of God" propagiert wird. Wobei ich dieses Buch für das am meisten missverstandene nach der Bibel und dem Koran halte (Rettungssanitätern sollte man verbieten, es zu lesen - es wirkt schlimmer auf sie als "Mein Kampf", seinerzeit fatalerweise auch unzureichend verstanden (?). Aber das führt wirklich zu weit).
Das ist nun eine gewagte Behauptung von mir - was meint Ihr? Kommentiert doch mal!
PS: Den Maßstab für Abgehobenheit und Empathielosigkeit hat für mich ein anderer Chefarzt (des schlechtesten und wassernächsten KKH HDs) gesetzt, als er einer alten Patientin mit fortgeschrittener Herzinsuffizienz infolge Aortenstenose, die sich nicht operieren lassen wollte, in sachlicher Form die baldige Pflegebedürftigkeit (statt des von ihr gewünschten Todes) prognostizierte.
-... sie hören jetzt mit dem Rauchen AUF!
-Nein.
-Dann kriegen sie wieder 'nen Schlaganfall!
-...
-Wollen Sie jetzt schon sterben?
-[Achselzucken] Ja...
-Aber wieso denn? Haben Sie keine Familie? [Patient ist ca 50J. alt, Alkoholiker und lebt bei seiner Mutter]
-[Schüttelt den Kopf] Nein.
-Ja, das ist schwer. Hmm.
Hmm... Also ich muss dazu sagen, dass der Chef sonst immer respektvoll und eigentlich auch einigermaßen einfühlsam mit den Patienten umgegangen ist. Aber DAS... ist suboptimal. Jedenfalls aus utilitaristischer "greatest-happiness-for-greatest-number"-Sicht. Manchmal denke ich, dass vielen Chefärzten die "buddhistisch-katholische" benigne therapeutische Resignation völlig fehlt. Da sie nicht mehr dem Stationsalltag ausgesetzt sind, haben sie eine gesteigerte Selbstwirksamkeitserwartung. Sozusagen das Gegenteil dessen, was in "House of God" propagiert wird. Wobei ich dieses Buch für das am meisten missverstandene nach der Bibel und dem Koran halte (Rettungssanitätern sollte man verbieten, es zu lesen - es wirkt schlimmer auf sie als "Mein Kampf", seinerzeit fatalerweise auch unzureichend verstanden (?). Aber das führt wirklich zu weit).
Das ist nun eine gewagte Behauptung von mir - was meint Ihr? Kommentiert doch mal!
PS: Den Maßstab für Abgehobenheit und Empathielosigkeit hat für mich ein anderer Chefarzt (des schlechtesten und wassernächsten KKH HDs) gesetzt, als er einer alten Patientin mit fortgeschrittener Herzinsuffizienz infolge Aortenstenose, die sich nicht operieren lassen wollte, in sachlicher Form die baldige Pflegebedürftigkeit (statt des von ihr gewünschten Todes) prognostizierte.
Dienstag, 11. September 2007
Anschlag!
Ich zitiere aus einer email vom Sekretariat der Neurologie vom 10.09.07 abends:
"Die Neurologie hat ein "Attentat" auf Sie vor!"
Am 11.09.07 gab es eine Bombendrohung gegen die Klinik, in der wir arbeiten.
Das Personal wurde zwischenzeitlich teilweise evakuiert. Zum Glück ist dann natürlich doch nichts passiert.
"Die Neurologie hat ein "Attentat" auf Sie vor!"
Am 11.09.07 gab es eine Bombendrohung gegen die Klinik, in der wir arbeiten.
Das Personal wurde zwischenzeitlich teilweise evakuiert. Zum Glück ist dann natürlich doch nichts passiert.
Donnerstag, 6. September 2007
Deutsch-Englisch
Das hat jetzt gar nix mit PJ zu tun, aber mit Deutsch-Englisch! Und dient zur zwischenzeitlichen Ablenkung von den rauhen PJ Zeiten.
Your english is under all pig!
ohl aur inglisch is not from bäd perents i sink.
Ai see bläck vor ju all tugeser! Änd siss is my seriousness!
Ju go mi on se ghost! Aur Inglisch is bjutiful and ävribadi anderständs as. Säts oll
I häv tu sei. Point!
He shows her his cold shoulder.
Now leave the church in the village!
We should all jump over our shadow!
You are me someone...
That goes you nothing on!
Sät makes ju so fast nobody after.
I'm a bit through the wind now...
You are on the woodway!
I understand only railstation
I wish you what!
how goes it you?
Inglisch länguätsch is a heavy länguätsch, bikors of sät ai orwäis sey:
Kärfullness is sä maser of sä boks of sä china.
Ei sink hies ower se maunten
You can me one time!
I don´t let me take the butter from the bread
I think we are all on the war foot with english...
Hai, Aim nju tu sis grup änd häv ä kwestschn:
WHAT DO YOU?!
When I this read, then I think I spider!
The coffee is cooking.
Oh, I'd like to have a little one.
Life is not a wishconcert. It makes me ready...
Your english is under all pig!
ohl aur inglisch is not from bäd perents i sink.
Ai see bläck vor ju all tugeser! Änd siss is my seriousness!
Ju go mi on se ghost! Aur Inglisch is bjutiful and ävribadi anderständs as. Säts oll
I häv tu sei. Point!
He shows her his cold shoulder.
Now leave the church in the village!
We should all jump over our shadow!
You are me someone...
That goes you nothing on!
Sät makes ju so fast nobody after.
I'm a bit through the wind now...
You are on the woodway!
I understand only railstation
I wish you what!
how goes it you?
Inglisch länguätsch is a heavy länguätsch, bikors of sät ai orwäis sey:
Kärfullness is sä maser of sä boks of sä china.
Ei sink hies ower se maunten
You can me one time!
I don´t let me take the butter from the bread
I think we are all on the war foot with english...
Hai, Aim nju tu sis grup änd häv ä kwestschn:
WHAT DO YOU?!
When I this read, then I think I spider!
The coffee is cooking.
Oh, I'd like to have a little one.
Life is not a wishconcert. It makes me ready...
Mittwoch, 5. September 2007
Noch was Unerträgliches
Ein kleiner Auszug aus den Diskussion auf Station, um einen Eindruck des niedrigen Niveaus zu geben (jaja, enge Liquorräume schützen vor Dummheiten nicht):
Und zwar ging es um Phänomene des Medizinerjargons. Oft wird ja bei der Berichterstattung zusammengefasst "...der Patient hatte eingenässt, eingekotet,..."
Was für ein krasses Wort! Einkotung! Als ein Oberarzt dies in einem Arztbrief sichtete, veranlasste er, es zu "...der Patient hatte hinter sich gelassen..." zu ändern.
Als im Krankenhaus Tätige haben wir ja zum Glück kein Problem mit Fäkaliensprache. Daher möchte ich hier eine Diskussion anstoßen, inwieweit man sich diese aneignen kann und darf und sie zwecks Klarheit benützen soll, ohne geschmacklos und vulgär daherzukommen.
Der NeuroPJler
Und zwar ging es um Phänomene des Medizinerjargons. Oft wird ja bei der Berichterstattung zusammengefasst "...der Patient hatte eingenässt, eingekotet,..."
Was für ein krasses Wort! Einkotung! Als ein Oberarzt dies in einem Arztbrief sichtete, veranlasste er, es zu "...der Patient hatte hinter sich gelassen..." zu ändern.
Als im Krankenhaus Tätige haben wir ja zum Glück kein Problem mit Fäkaliensprache. Daher möchte ich hier eine Diskussion anstoßen, inwieweit man sich diese aneignen kann und darf und sie zwecks Klarheit benützen soll, ohne geschmacklos und vulgär daherzukommen.
Der NeuroPJler
Montag, 3. September 2007
Ist ja unerträglich
der Zerebralnarzissmus greift um sich! Warte nur, bis auch Deine äußeren Liquorräume erweitert sind... Dem muss Einhalt geboten werden, deswegen poste ich jetzt dagegen an. Eigentlich wollte ich einen "Akademiker"-Penisvergleich starten und meine MRT-Bilder drüberposten, aber ich finde sie nicht mehr. Zu schade. Hirnverlust.
Dann habe ich heute endlich meinen Chefarzt kennengelernt; er hat angekündigt, mich künftig 1x/w allein zu unterrichten. Erstaunlich. Bin gespannt.
Außerdem: Wer Lust hat, Studienbotschafter im Sold Annette Schavans zu werden, lese hier und hier. Ich habe mich gerade beworben.
Dann habe ich heute endlich meinen Chefarzt kennengelernt; er hat angekündigt, mich künftig 1x/w allein zu unterrichten. Erstaunlich. Bin gespannt.
Außerdem: Wer Lust hat, Studienbotschafter im Sold Annette Schavans zu werden, lese hier und hier. Ich habe mich gerade beworben.
Sonntag, 2. September 2007
schnell was anderes
Wir brauchen schnell etwas anderes als das Foto dieses Daniels da unten...
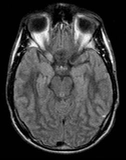
hier nun ein MRT Schnitt meines Gehirn, leicht zu erkennen ein T1-gewichteter Transversalschnitt auf Augenhöhe, mit noch engen äußeren Liquorräumen, die indirekt für die Qualität dieses Blogs sprechen! jaja, Ihr habt richtig gelesen.
Noch eine Geschichte von meiner ersten Chefarztvisite auf Station: Ich stelle meinen an PNP an den Beinen leidenden Patienten vor, der Chefarzt schaut sich noch einmal die Füße an Fragt er mich am Bett des Patienten: "..und hat er Fußpulse, Art.tib.post.?" Siedend heiß fällt mir ein, dass ich genau das vergessen hatte zu prüfen. ...in der Woche zuvor hatte jener Chefarzt mich schon etwas kleingemacht, als er meine Rotation durch die Neurologie als "touristische Reise" bezeichnet hatte. Daher konnte ich mir keine Unaufmerksamkeit leisten, sonst drohte die Gefahr, lächerlich gemacht zu werden. Also sage ich bestimmt: "ja!" und habe Glück, der Chef findet sie. Fragt er mich daraufhin: "und art.dorsalis pedis?" ich: "äh, nein", und er findet sie auf die Schnelle auch nicht. Gerettet.
Stellt sich die Frage, ob es vertretbar ist, solche, nunja, unvalidierten Aussagen zu treffen. Eigentlich ja total schwach und falsch, und ich mache es auch nie vor Oberärzten oder so. Aber manchmal, z.B. auf der Chefarztvisite in den Momenten, wo es sicher keine Konsequenz für den Patienten hat (es gibt ja noch den Stationsarzt und den Oberarzt, der letztlich über das diagnostische und therapeutische Procedere entscheidet), aber sicher Konsequenzen für den kleinen PJler, scheint es mir nicht so verwerflich zu sein. Soll aber nie wieder vorkommen, daher am besten jetzt auch keine Diskussion um diesen Beitrag.
hier nun ein MRT Schnitt meines Gehirn, leicht zu erkennen ein T1-gewichteter Transversalschnitt auf Augenhöhe, mit noch engen äußeren Liquorräumen, die indirekt für die Qualität dieses Blogs sprechen! jaja, Ihr habt richtig gelesen.
Noch eine Geschichte von meiner ersten Chefarztvisite auf Station: Ich stelle meinen an PNP an den Beinen leidenden Patienten vor, der Chefarzt schaut sich noch einmal die Füße an Fragt er mich am Bett des Patienten: "..und hat er Fußpulse, Art.tib.post.?" Siedend heiß fällt mir ein, dass ich genau das vergessen hatte zu prüfen. ...in der Woche zuvor hatte jener Chefarzt mich schon etwas kleingemacht, als er meine Rotation durch die Neurologie als "touristische Reise" bezeichnet hatte. Daher konnte ich mir keine Unaufmerksamkeit leisten, sonst drohte die Gefahr, lächerlich gemacht zu werden. Also sage ich bestimmt: "ja!" und habe Glück, der Chef findet sie. Fragt er mich daraufhin: "und art.dorsalis pedis?" ich: "äh, nein", und er findet sie auf die Schnelle auch nicht. Gerettet.
Stellt sich die Frage, ob es vertretbar ist, solche, nunja, unvalidierten Aussagen zu treffen. Eigentlich ja total schwach und falsch, und ich mache es auch nie vor Oberärzten oder so. Aber manchmal, z.B. auf der Chefarztvisite in den Momenten, wo es sicher keine Konsequenz für den Patienten hat (es gibt ja noch den Stationsarzt und den Oberarzt, der letztlich über das diagnostische und therapeutische Procedere entscheidet), aber sicher Konsequenzen für den kleinen PJler, scheint es mir nicht so verwerflich zu sein. Soll aber nie wieder vorkommen, daher am besten jetzt auch keine Diskussion um diesen Beitrag.
Abonnieren
Kommentare (Atom)
